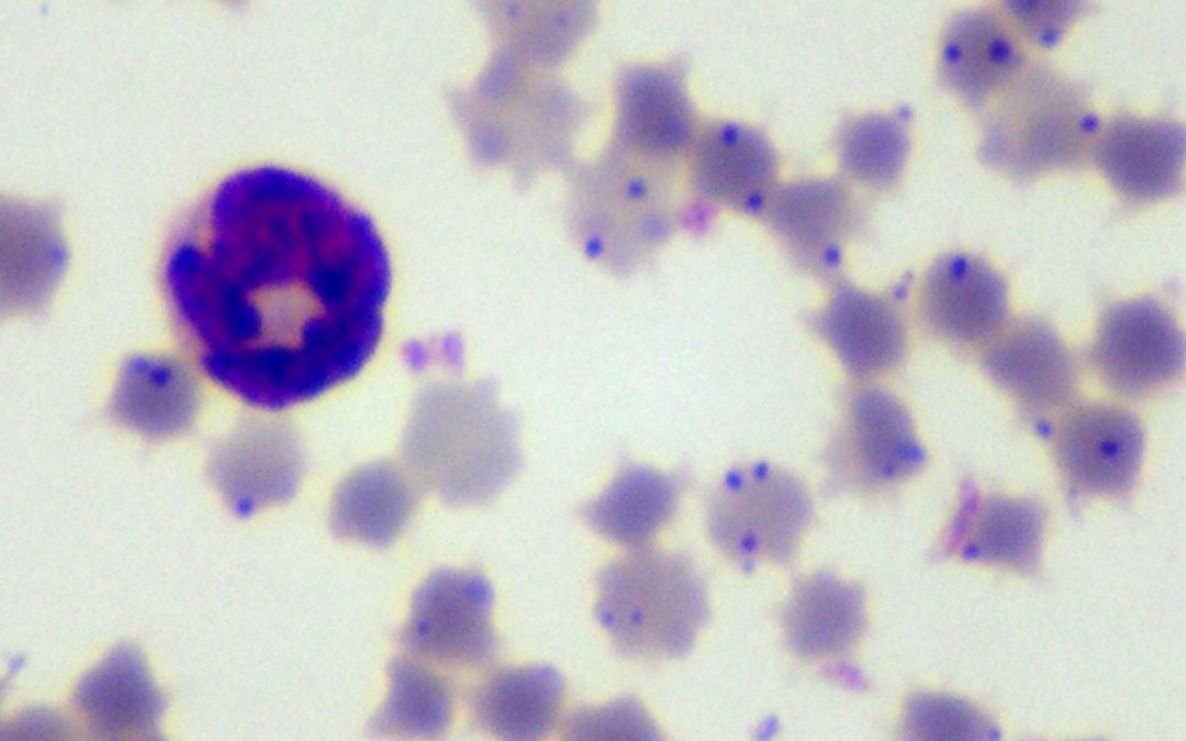
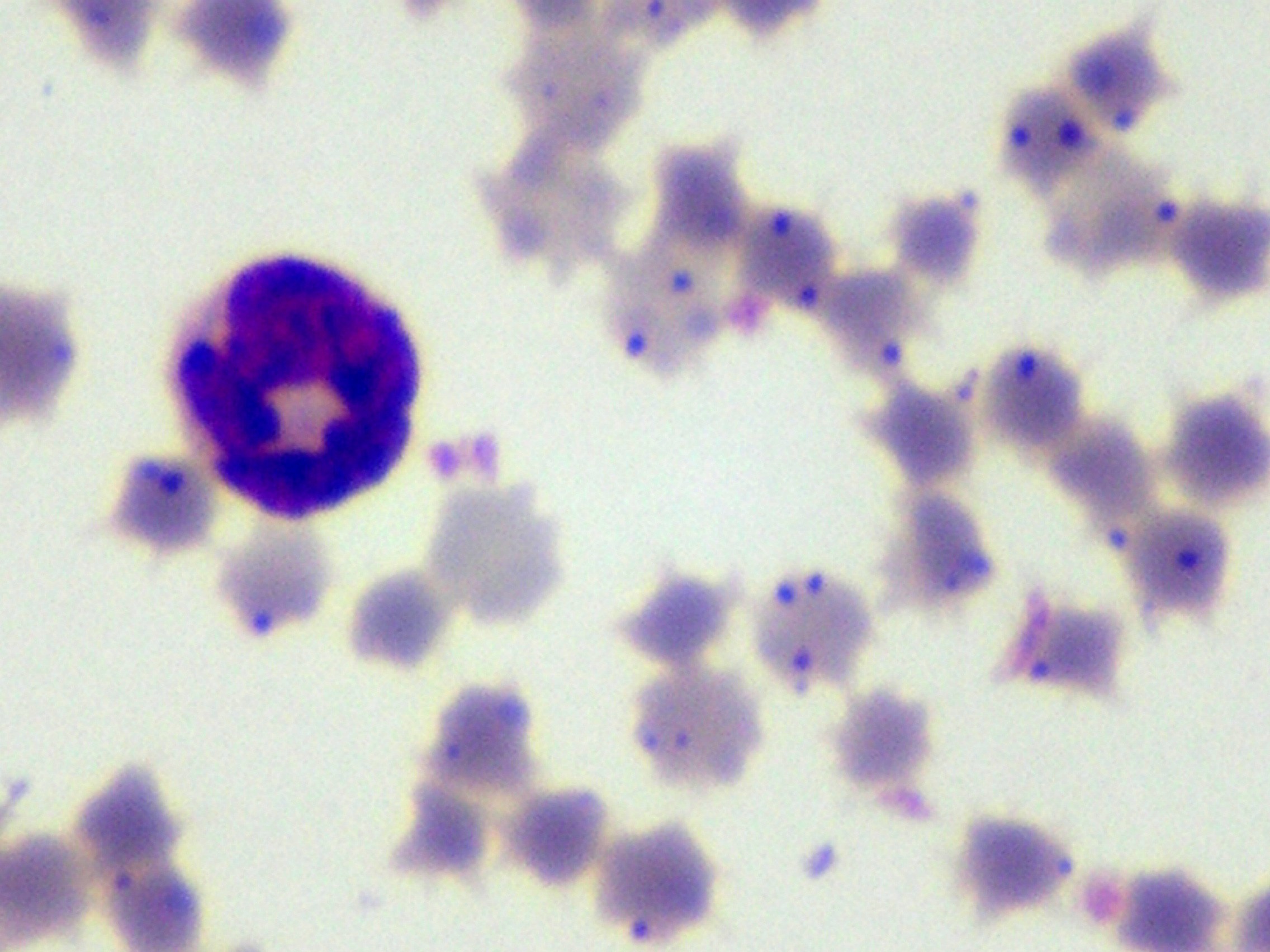
El uso estratégico de las pruebas serológicas y su interpretación en el contexto epidemiológico de cada rodeo permite definir la presencia de portadores de Anaplasma spp. Y la muerte de bovinos con anaplasmosis aguda puede evitarse por el tratamiento oportuno con antibióticos.
Fuente
XXIII REUNIÓN CIENTÍFICO TÉCNICA – AAVLD
Para mas información ver nota completa Aquí
